OSCE
slide show
Slide 1
Qs:
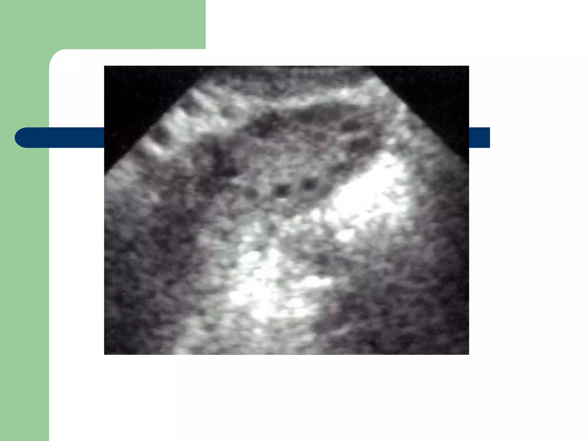
1. What is this procedure?
2. Name 4 indications for this procedure.
3. Name 2 other antenatal diagnostic tests.
1. Amniocentesis.
2. Chromosomal abnormality (cells)
Infections
Bilirubin (in case of haemolysis)
Check lung maturity.
3. Name other 2 antenatal diagnostic tests.
 PUBS (percutanous umbilical cord blood
sampling)
 CVS (Chorionic villia sampling)
Slide 2
Qs:
 What is this condition?
 Name 4 causes.
 Which of them has highest dangerous
complications. And why?
 Name 2 complications you would anticipate.
1. Macrosomic baby
2. Diabetic mother (GDM or pre-existing)
Post date
Family history of big babies
Undiagnosed DM
Obese mothers.
Gaining a lot of weight during pregnency.
3.Diabetic mother, because it is associated with
fetal poor health and delayed lung maturity
and respiratory distress.
4.Complications:
Polycythemia, hypoglycemia,
hyperbilirubinemia, delayed lung maturity,
shoulder dystotia, prolonged labour and risk
of fetal distress.
Slide 3
*
Qs:
 Identify the defect in arrow 1.
 Identify the anatomic structure in: (1, 2, 3, 4 ).
 Name 3 risk factors for this condition.
1. Cystocele.
2. 1= urinary bladder wall, anterior vaginal
wall.
2=rectum
3=uterus
4=urinarry bladder
3. multiparty, old age, genetic connective tissue
weakness, previous injury
Slide 4
*
Qs:
 What is the defect in arrow 3?
 What is the position of this uterus?
 Identify instruments in arrow (1, 2).
 How can you prevent this condition.
1. Perforated uterus.
2. Sharply anteflexed uterus.
3. (1= uterine sound, 2=speculum ).
4. 1.US-guided procedure
2.Gentle and gradual insertion.
Slide 5
*
Qs:
1. Name this organism.
2. How would it present clinically?
3. What is the treatment?
4. Would you treat the partner? Why?
1. Trichomonus vaginalis.
2. It could present with itching and discharge.
3. Treat with metronidazole.
4. Yes treat the husband, because it is
infectious sexually transmitted disease.
Slide 6
Qs:
 Identify
 Name three indications.
 Name three complications
1. Plastic ventous suction cup
2. Indications:
 Prolonged labour
 maternal exhaustion
 Fetal distress
 Maternal medical illness.
3. Complications:
 Epidural , cephalic haematoma.
 Hyperbilirobinemia
 Birth canal injury due to tissue entrapment.
 Prolonged suction causes fetal distress.
Slide 7
Qs:
1. Identify the abnormality.
2. What is the normal range?
3. Name 4 causes.
1. Fetal tachycardia. (>180
beats/mint)
2.120-160 beats/mint
3.CAUSES of fetal tachycardia
 Maternal:
 Fever, Anxiety, medications (ex: terbutaline)
 Fetal:
 Infection, excitation and movement, early
hypoxia, infection, fetal heart arrhythmia and
prematurity.
Slide 8
*
Qs:
1. Name the 4 hormones in menstrual cycle
and from where are they secreted?
2. Name the two phases and their
predominant hormone.
1. FSH……………..from anterior pituitary
LH ………………from anterior pituitary
Oestrogen………from granulosa cells
Progesterone….. from corpus luteum
2. Proliferative phase (by estrogen)
secretary phase-luteal- (by progesterone)
Slide 9
Qs:
1. What is shown in the picture?
2. Name 4 common sites for this lesions.
3. What are the two main ways of treatment?
mention an example for each.
1.Endometriosis (shown by laproscope)
2.Common sites:
Ovaries
Peritoneum
Ovarian/uterine ligaments
Pelvic wall
cervical
3.treatment
1.Medical:
 Pseudopregnency: progesterone pills, OCPs.
 Pseudomenopause: danazole, GnRH
agonists.
2.Surgical:
 Partial or radical either by :Laproscopy or
laprotomy
Slide 10
*
Qs:
1. What is the lie and presentation?
2. Name two diagnostic signs.
3. Name two complications.
4. What is the management:
Before delivery?
During labour?
1.Transverse lie, shoulder presentation.
2.Signs: low fundal hight to date, feel the head on
abdominal lateral sides, feel the back of the fetus
running transverse lie, transverse lie by US.
3.Complications: cord prolapse (Most common), cord
compression, shoulder dystocia, prolonged labour,
fetal distress, maternal exhaustion, fetal injury, bone
fracture, maternal injury and obstructed labour.
4. management
1.Before delivery:
 External cephalic version.
2.Intra labour:
 C/S
Qs
1. What do you see?
2. Give two DD
3. What would you ask in H. (give 3)
4. What would you order for investigation.
(give 3)
 What do you see?
 Breast budding.
 Give 2 DD.
1. Complete precocious puberty.
2. Incomplete precocious puberty
 What would you ask in H?
1. Ask if she has any pubic or axillary hair?
2. Ask if she had any vaginal bleeding or
menses.
3. Ask if she has been taking any medications
4. Ask for any family H in this condition.
 What would you order for investigation?
1. Check hormonal level of estrogen.
2. Check her FSH, LH levels.
3. Take radio-images of her brain to rule out
any secretery tumors (sp: pituitary)
4. Do an US for her ovaries to rule out any
estrogen secreting tumors (ex: granulosal
cells tumor)
*
Qs
1. What is this condition?
2. Caused by which hormone?
3. What could cause it elevation?
4. What other posible symptoms could it
present with?
5. How would you treat it?
 What is it?
 Galactorrhea
 By which hormone?
 Prolactin
 What could cause its elevation? (give 4)
 Physiological (lactating breast-feeding
mother)
 Pituitary adenoma
 Drug-induced.
 Other prolactin-secretory tumors.
 Idiopathic elevation.
 Possible other symptoms: give 2
 Infertility
 Amenorrhea
 How would you treat?
 Medically: bromocreptine (for decreasing
prolactin secretion and reducing adenomas
size),
 clomid (to restore fertility)
 Surgical: remove the tumor
Slide 4
Pt presents with 6 week of amenorrhea and lower
abdominal pain (look at picture)
Qs
 What is the DD?
 What possible other symptoms?
 Give 4 risk factors.
 How would you treat?
 What is the Dd?
 Ectopic pregnancy.
 What possible other symptoms?
 PV bleeding, lower abdominal pain and
amenorrhea
 Give 4 risk factors.
 Previous Ectopic pregnancy
 Tubal disease
 Chronic PID and adhesions.
 Adhesions from endometriosis
 IUCD
 Tubal ligation
 How would you manage?
 Medical: methotrexate if it fits the
recommended criteria.
 Surgical: salpingostomy (if in ampulla and
uncomplicated) salpingectomy if otherwise
with checking the patency and health of the
other tube.
Slide 5
Qs
1. What are 1, 2 ,3 ?
2. Which one is the most important
obstetrically and what’s its length?
3. What are 4 and 5?
 What are 1, 2 and 3?
 1= True (anatomic) diameter.
 2=obstetric diameter.
 3=diagonal diameter.
 Which is obs. Imp and what’s its length?
 Obstetric diameter and its about 11.5 cm
1. What are 4 and 5?
 4=pubic bone (symphesis pubis)
 5=sacral promontory.
Slide 6
Qs
1. What is your DD?
2. What symptoms would present (give 2)
3. What hormones would be elevated?
4. How would you treat?
 What is the DD?
 Polycystic ovarian syndrome (PCOs)
 Symptoms:
 Acne
 Hiristisum
 Infertility
 Irregular menses
 What hormones would be elevated?
(Give2)
1. LH
2. Androgens
3. Insulin
 How would you treat?
 Give combined OCPs (for hiristisum and
prevention of endometrial cancer due to
elevated unopposed estrogen
 Or give progestrone to prevent endometrial
cancer
 Give metformin for insulin resistance.
 Remove ovary surgically if associated with
neoplasm or unreasoning to medications.
Slide 7
*
Qs
1. What is this condition?
2. How to detect it antenatally?
3. Name 3 complications.
4. How would you prevent it?
 What?
 Anencephaly
 How would you prevent it?
 By folic acid supplementation in diet.
 Name 3 complications:
 1.malpresenation
 2.post date
 3.polyhydrominous.
 4.postpartum haemorrhage (uterine atony)
 5.baby loss (depression)
 How to detect?
 1.US: absent brain and skull bones.
 2 triple marker test : elevated alpha-
fetoprotein.
 3.by physical exam: cant palpate the fetal
head.
Slide 8
*
Qs
1. What is this condition?
2. What could cause this condition?
3. Name 3 complications of forceps
delivery.
 What?
 Facial palsy.
 What could cause it?
 Operative delivery by forceps.
 Name 3 other obstetric and 3 fetal
complications of forceps:
 Fetal:
 Fetal skull bone fractures.
 Intracranial hematomas.
 Intracranial haemorrhage.
 Low apgar score
 Fetal distress.
 Maternal:
 Birth canal injury.
 Post partum haemorrhage.
 Fistulae formation.
 Bladder, urethral and perineal body injury
 Urine incontinence.
Slide 9
Qs
 What are 1 and 2?
 Name 4 indications for C/S.
 Name 4 complications for C/S.
 What are 1 and 2?
 1= vertical (longtudinal) section (classic)
 2= low transverse section.
 Name 4 indications.
1. Placenta prevea.
2. Preveious myomectomy
3. Previous C/S
4. Previous uterine rupture
5. Conditions need to deliver baby as fast as possible
with the cervix is unfavourable like:
A-Severe pre-eclampsia
B-Eclampsia.
C-Severe fetal distress.
 Name 4 complications:
 Heavy bleeding.
 risk of uterine rupture in a subsequent pregnancy.
 Higher risk for infections and puerperal sepses.
 Urine overflow incontinence (from anaesthetics)
 Risk of fetal injury (from cutting the uterus)
 Injury of other pelvic organ tissues.

03-OSCE-SlideShow_(1).ppt

  • 1.
  • 2.
  • 4.
    Qs: 1. What isthis procedure? 2. Name 4 indications for this procedure. 3. Name 2 other antenatal diagnostic tests.
  • 5.
    1. Amniocentesis. 2. Chromosomalabnormality (cells) Infections Bilirubin (in case of haemolysis) Check lung maturity.
  • 6.
    3. Name other2 antenatal diagnostic tests.  PUBS (percutanous umbilical cord blood sampling)  CVS (Chorionic villia sampling)
  • 7.
  • 9.
    Qs:  What isthis condition?  Name 4 causes.  Which of them has highest dangerous complications. And why?  Name 2 complications you would anticipate.
  • 10.
    1. Macrosomic baby 2.Diabetic mother (GDM or pre-existing) Post date Family history of big babies Undiagnosed DM Obese mothers. Gaining a lot of weight during pregnency.
  • 11.
    3.Diabetic mother, becauseit is associated with fetal poor health and delayed lung maturity and respiratory distress. 4.Complications: Polycythemia, hypoglycemia, hyperbilirubinemia, delayed lung maturity, shoulder dystotia, prolonged labour and risk of fetal distress.
  • 12.
  • 13.
  • 14.
    Qs:  Identify thedefect in arrow 1.  Identify the anatomic structure in: (1, 2, 3, 4 ).  Name 3 risk factors for this condition.
  • 15.
    1. Cystocele. 2. 1=urinary bladder wall, anterior vaginal wall. 2=rectum 3=uterus 4=urinarry bladder 3. multiparty, old age, genetic connective tissue weakness, previous injury
  • 16.
  • 17.
  • 18.
    Qs:  What isthe defect in arrow 3?  What is the position of this uterus?  Identify instruments in arrow (1, 2).  How can you prevent this condition.
  • 19.
    1. Perforated uterus. 2.Sharply anteflexed uterus. 3. (1= uterine sound, 2=speculum ). 4. 1.US-guided procedure 2.Gentle and gradual insertion.
  • 20.
  • 21.
  • 22.
    Qs: 1. Name thisorganism. 2. How would it present clinically? 3. What is the treatment? 4. Would you treat the partner? Why?
  • 23.
    1. Trichomonus vaginalis. 2.It could present with itching and discharge. 3. Treat with metronidazole. 4. Yes treat the husband, because it is infectious sexually transmitted disease.
  • 24.
  • 26.
    Qs:  Identify  Namethree indications.  Name three complications
  • 27.
    1. Plastic ventoussuction cup 2. Indications:  Prolonged labour  maternal exhaustion  Fetal distress  Maternal medical illness.
  • 28.
    3. Complications:  Epidural, cephalic haematoma.  Hyperbilirobinemia  Birth canal injury due to tissue entrapment.  Prolonged suction causes fetal distress.
  • 29.
  • 31.
    Qs: 1. Identify theabnormality. 2. What is the normal range? 3. Name 4 causes.
  • 32.
    1. Fetal tachycardia.(>180 beats/mint) 2.120-160 beats/mint
  • 33.
    3.CAUSES of fetaltachycardia  Maternal:  Fever, Anxiety, medications (ex: terbutaline)  Fetal:  Infection, excitation and movement, early hypoxia, infection, fetal heart arrhythmia and prematurity.
  • 34.
  • 35.
  • 36.
    Qs: 1. Name the4 hormones in menstrual cycle and from where are they secreted? 2. Name the two phases and their predominant hormone.
  • 37.
    1. FSH……………..from anteriorpituitary LH ………………from anterior pituitary Oestrogen………from granulosa cells Progesterone….. from corpus luteum 2. Proliferative phase (by estrogen) secretary phase-luteal- (by progesterone)
  • 38.
  • 40.
    Qs: 1. What isshown in the picture? 2. Name 4 common sites for this lesions. 3. What are the two main ways of treatment? mention an example for each.
  • 41.
    1.Endometriosis (shown bylaproscope) 2.Common sites: Ovaries Peritoneum Ovarian/uterine ligaments Pelvic wall cervical
  • 42.
    3.treatment 1.Medical:  Pseudopregnency: progesteronepills, OCPs.  Pseudomenopause: danazole, GnRH agonists. 2.Surgical:  Partial or radical either by :Laproscopy or laprotomy
  • 43.
  • 44.
  • 45.
    Qs: 1. What isthe lie and presentation? 2. Name two diagnostic signs. 3. Name two complications. 4. What is the management: Before delivery? During labour?
  • 46.
    1.Transverse lie, shoulderpresentation. 2.Signs: low fundal hight to date, feel the head on abdominal lateral sides, feel the back of the fetus running transverse lie, transverse lie by US. 3.Complications: cord prolapse (Most common), cord compression, shoulder dystocia, prolonged labour, fetal distress, maternal exhaustion, fetal injury, bone fracture, maternal injury and obstructed labour.
  • 47.
    4. management 1.Before delivery: External cephalic version. 2.Intra labour:  C/S
  • 49.
    Qs 1. What doyou see? 2. Give two DD 3. What would you ask in H. (give 3) 4. What would you order for investigation. (give 3)
  • 50.
     What doyou see?  Breast budding.  Give 2 DD. 1. Complete precocious puberty. 2. Incomplete precocious puberty
  • 51.
     What wouldyou ask in H? 1. Ask if she has any pubic or axillary hair? 2. Ask if she had any vaginal bleeding or menses. 3. Ask if she has been taking any medications 4. Ask for any family H in this condition.
  • 52.
     What wouldyou order for investigation? 1. Check hormonal level of estrogen. 2. Check her FSH, LH levels. 3. Take radio-images of her brain to rule out any secretery tumors (sp: pituitary) 4. Do an US for her ovaries to rule out any estrogen secreting tumors (ex: granulosal cells tumor)
  • 53.
  • 54.
    Qs 1. What isthis condition? 2. Caused by which hormone? 3. What could cause it elevation? 4. What other posible symptoms could it present with? 5. How would you treat it?
  • 55.
     What isit?  Galactorrhea  By which hormone?  Prolactin
  • 56.
     What couldcause its elevation? (give 4)  Physiological (lactating breast-feeding mother)  Pituitary adenoma  Drug-induced.  Other prolactin-secretory tumors.  Idiopathic elevation.
  • 57.
     Possible othersymptoms: give 2  Infertility  Amenorrhea
  • 58.
     How wouldyou treat?  Medically: bromocreptine (for decreasing prolactin secretion and reducing adenomas size),  clomid (to restore fertility)  Surgical: remove the tumor
  • 59.
  • 60.
    Pt presents with6 week of amenorrhea and lower abdominal pain (look at picture)
  • 61.
    Qs  What isthe DD?  What possible other symptoms?  Give 4 risk factors.  How would you treat?
  • 62.
     What isthe Dd?  Ectopic pregnancy.  What possible other symptoms?  PV bleeding, lower abdominal pain and amenorrhea
  • 63.
     Give 4risk factors.  Previous Ectopic pregnancy  Tubal disease  Chronic PID and adhesions.  Adhesions from endometriosis  IUCD  Tubal ligation
  • 64.
     How wouldyou manage?  Medical: methotrexate if it fits the recommended criteria.  Surgical: salpingostomy (if in ampulla and uncomplicated) salpingectomy if otherwise with checking the patency and health of the other tube.
  • 65.
  • 67.
    Qs 1. What are1, 2 ,3 ? 2. Which one is the most important obstetrically and what’s its length? 3. What are 4 and 5?
  • 68.
     What are1, 2 and 3?  1= True (anatomic) diameter.  2=obstetric diameter.  3=diagonal diameter.  Which is obs. Imp and what’s its length?  Obstetric diameter and its about 11.5 cm
  • 69.
    1. What are4 and 5?  4=pubic bone (symphesis pubis)  5=sacral promontory.
  • 70.
  • 72.
    Qs 1. What isyour DD? 2. What symptoms would present (give 2) 3. What hormones would be elevated? 4. How would you treat?
  • 73.
     What isthe DD?  Polycystic ovarian syndrome (PCOs)  Symptoms:  Acne  Hiristisum  Infertility  Irregular menses
  • 74.
     What hormoneswould be elevated? (Give2) 1. LH 2. Androgens 3. Insulin
  • 75.
     How wouldyou treat?  Give combined OCPs (for hiristisum and prevention of endometrial cancer due to elevated unopposed estrogen  Or give progestrone to prevent endometrial cancer  Give metformin for insulin resistance.  Remove ovary surgically if associated with neoplasm or unreasoning to medications.
  • 76.
  • 77.
  • 78.
    Qs 1. What isthis condition? 2. How to detect it antenatally? 3. Name 3 complications. 4. How would you prevent it?
  • 79.
     What?  Anencephaly How would you prevent it?  By folic acid supplementation in diet.
  • 80.
     Name 3complications:  1.malpresenation  2.post date  3.polyhydrominous.  4.postpartum haemorrhage (uterine atony)  5.baby loss (depression)
  • 81.
     How todetect?  1.US: absent brain and skull bones.  2 triple marker test : elevated alpha- fetoprotein.  3.by physical exam: cant palpate the fetal head.
  • 82.
  • 83.
  • 84.
    Qs 1. What isthis condition? 2. What could cause this condition? 3. Name 3 complications of forceps delivery.
  • 85.
     What?  Facialpalsy.  What could cause it?  Operative delivery by forceps.
  • 86.
     Name 3other obstetric and 3 fetal complications of forceps:  Fetal:  Fetal skull bone fractures.  Intracranial hematomas.  Intracranial haemorrhage.  Low apgar score  Fetal distress.
  • 87.
     Maternal:  Birthcanal injury.  Post partum haemorrhage.  Fistulae formation.  Bladder, urethral and perineal body injury  Urine incontinence.
  • 88.
  • 90.
    Qs  What are1 and 2?  Name 4 indications for C/S.  Name 4 complications for C/S.
  • 91.
     What are1 and 2?  1= vertical (longtudinal) section (classic)  2= low transverse section.
  • 92.
     Name 4indications. 1. Placenta prevea. 2. Preveious myomectomy 3. Previous C/S 4. Previous uterine rupture 5. Conditions need to deliver baby as fast as possible with the cervix is unfavourable like: A-Severe pre-eclampsia B-Eclampsia. C-Severe fetal distress.
  • 93.
     Name 4complications:  Heavy bleeding.  risk of uterine rupture in a subsequent pregnancy.  Higher risk for infections and puerperal sepses.  Urine overflow incontinence (from anaesthetics)  Risk of fetal injury (from cutting the uterus)  Injury of other pelvic organ tissues.